Verified by drg. Tya Salampessy
HIV (Human Immunodeficiency Virus) adalah virus yang menyerang sistem kekebalan tubuh terutama sel darah putih yang merupakan “pasukan pelindung” untuk melawan infeksi. Saat virus ini berkembang biak dan menghancurkan sel-sel tersebut, daya tahan tubuh akan melemah. Jika virus tidak segera diobati, kondisi ini bisa berkembang menjadi AIDS (Acquired Immune Deficiency Syndrome). Menariknya, banyak ciri-ciri gejala infeksi virus HIV muncul di rongga mulut. Seperti sariawan yang tak kunjung sembuh, lapisan putih pada lidah, atau gusi yang mudah berdarah.
Rongga mulut merupakan salah satu bagian tubuh pertama yang menunjukkan tanda-tanda perubahan akibat penurunan sistem imun. Hal ini dikarenakan air liur terpapar langsung dengan lingkungan luar yang mengandung berbagai macam mikroorganisme. Ketika daya tahan tubuh menurun akibat HIV, keseimbangan mikrobiota mulut terganggu sehingga memicu munculnya kelainan mukosa (selaput lendir) dan infeksi sekunder (Greenspan & Greenspan, Oral Surgery, Oral Medicine, Oral Pathology, 1992).
Di sinilah peran dokter dan tenaga medis khususnya di bidang kesehatan gigi dan mulut menjadi sangat penting untuk membantu mendeteksi gejala HIV/AIDS lebih dini. Sehingga pasien bisa segera mendapatkan perawatan dan pengobatan dengan cepat. Untuk itu, mari kita pelajari masing-masing gejala infeksi untuk meningkatkan kewaspadaan para dokter dan tenaga medis terhadap pasien terinfeksi.
Salah satu tanda paling umum pada rongga mulut adalah kandidiasis oral, yang disebabkan oleh jamur Candida albicans yang berkembang biak. Jamur ini sebenarnya merupakan mikroorganisme wajar yang menghuni rongga mulut, tetapi pada kondisi pasien dengan infeksi HIV, terutama ketika jumlah sel darah putih menurun di bawah 200 sel/mm³, Candida menjadi patogen berbahaya yang menimbulkan lesi (kerusakan jaringan) klinis yang khas (Patton et al., Oral Diseases, 2002).


Foto: Pseudomembranous Candidiasis pada lindah (kiri) dan pada langit-langit mulut (kanan)
Bentuk yang paling sering ditemukan adalah Pseudomembranous candidiasis, yang ditandai dengan plak putih seperti lapisan susu pada permukaan lidah, mukosa bukal, atau langit-langit mulut. Lesi ini mudah dihilangkan menggunakan kasa, meninggalkan permukaan mukosa (selaput lendir) yang merah dan terasa nyeri. Nyeri yang dirasakan pasien merupakan sensasi terbakar di mulut dan rasa tidak nyaman saat makan (Neville et al., Oral and Maxillofacial Pathology, 2016).

Foto: Erythematous candidiasis pada dorsum lidah (kiri), dan pada langit-langit mulut (kanan)
Selain itu, terdapat bentuk Erythematous candidiasis, yang tampak seperti daerah kemerahan tanpa plak putih. Lesi ini paling sering ditemukan pada langit-langit mulut dan dorsum lidah, serta dapat menimbulkan rasa terbakar terutama setelah mengonsumsi makanan pedas atau asam. Bentuk ini sering muncul setelah pasien mengalami Pseudomembranous candidiasis atau penggunaan antibiotik jangka panjang.

Foto: Angular Cheilitis pada kedua sudut bibir
Bentuk ketiga yang juga sering ditemukan adalah Angular cheilitis, yaitu peradangan kronis pada sudut bibir kiri dan kanan yang menyebabkan retakan, kemerahan, dan nyeri. Pada beberapa kasus, terdapat kerak kekuningan akibat infeksi campuran Candida albicans dan bakteri Staphylococcus aureus. Lesi ini sering kambuh, terutama pada pasien HIV dengan keadaan Xerostomia (mulut kering) atau penggunaan gigi palsu yang tidak pas (Coogan et al., Bull World Health Organ, 2005).
Infeksi virus yang paling sering dijumpai adalah Herpes simplex virus(HSV). Pada pasien yanng sehat, infeksi herpes biasanya bersifat akut dan sembuh dalam 7–10 hari. Namun, pada pasien yang terinfeksi virus HIV, lesi herpes dapat bertahan lebih dari satu bulan dan bersifat rekuren. Lesi tampak seperti ulserasi (luka selaput lendir) dengan bentuk tidak teratur dan terasa nyeri, biasanya terjadi pada mukosa non-keratinisasi seperti mukosa bukal, lidah, atau palatum lunak. Lesi yang menetap lebih dari satu bulan dikategorikan oleh WHO sebagai penanda infeksi virus HIV stadium lanjut atau AIDS (Coogan et al., Bull World Health Organ, 2005).

Foto: Kasus Herpes zester oral pada langit-langit mulut
Infeksi virus lain yang sering muncul adalah Herpes zoster oral, yang disebabkan oleh reaktivasi Varicella-zoster virus. Lesi ini umumnya bersifat unilateral, mengikuti distribusi saraf trigeminus, dan disertai nyeri hebat (neuralgia). Pada rongga mulut, lesi tampak sebagai vesikel yang cepat pecah menjadi sariawan dangkal, sering diikuti rasa terbakar. Apabila ada kasus herpes zoster pada pasien berusia muda tanpa penyebab lain harus diwaspadai adanya gangguan sistem imun seperti HIV.

Foto: Kasus infeksi HPV pada langit-langit mulut (kiri), dan bibir (kanan)
Selain virus herpes, pasien HIV juga dapat mengalami infeksi Human papillomavirus (HPV). Virus ini menyebabkan terbentuknya lesi papilomatosa berupa tonjolan kecil menyerupai kembang kol (papilloma atau kondiloma akuminata) di mukosa mulut, lidah, atau bibir. Lesi HPV bersifat multipel, lunak, dan tidak nyeri, namun dapat membesar dan rekuren. HPV tipe 16 dan 18 juga diketahui memiliki potensi transformasi neoplastik, sehingga perlu kewaspadaan dan tindak lanjut.

Foto: Kasus ulserasi akibat infeksi Cytomegalovirus pada langit-langit mulut (kiri), dan lidah (kanan)
Terakhir, infeksi Cytomegalovirus (CMV) dapat menimbulkan ulserasi kronis yang sulit sembuh, biasanya pada mukosa bukal, lidah, atau palatum. Ulkus (luka) CMV berukuran besar, dalam, dan nyeri, sering menyerupai ulkus traumatik tetapi tidak merespons terapi konvensional. Diagnosis memerlukan pemeriksaan histopatologi atau PCR, namun secara klinis ulkus persisten pada pasien dengan imunitas rendah harus dicurigai sebagai tanda-tanda CMV (Schiodt et al., Oral Surg Oral Med Oral Pathol Oral Radiol Endod, 1992).
Kasus pada rongga mulut yang disebabkan oleh infeksi bakteri merupakan salah satu ciri khas infeksi virus HIV karena perubahan mikroflora subgingiva (kelompok bakteri yang hidup di bawah gusi). Ketika kadar sel darah putih menurun, kemampuan tubuh untuk mengontrol pertumbuhan bakteri patogen di jaringan periodontal ikut berkurang. Akibatnya, pasien menjadi rentan terhadap infeksi serius yang tidak sebanding dengan jumlah plak, seperti Linear Gingival Erythema (LGE) dan Necrotizing Ulcerative Gingivitis/Periodontitis (NUG/NUP).

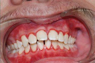
Foto: Kasus Linear Gingival Erythema
Linear Gingival Erythema (LGE) ditandai dengan garis merah terang pada tepi gingiva yang tampak mencolok dan tidak hilang meskipun mulut dalam keadaan bersih tanpa plak. Lesi biasanya melibatkan gusi anterior, terutama pada rahang bawah, dan dapat disertai rasa nyeri ringan serta perdarahan saat menyikat gigi. LGE dianggap sebagai bentuk awal dari infeksi jamur atau bakteri berbahaya, terutama Candida albicans dan bakteri gram-negatif anaerob seperti Fusobacterium nucleatum dan Prevotella intermedia (Glick & Greenberg, Burket’s Oral Medicine, 12th ed., 2015). Munculnya LGE sering menjadi petunjuk adanya gangguan imun yang signifikan, termasuk pada pasien HIV di tahap awal infeksi.

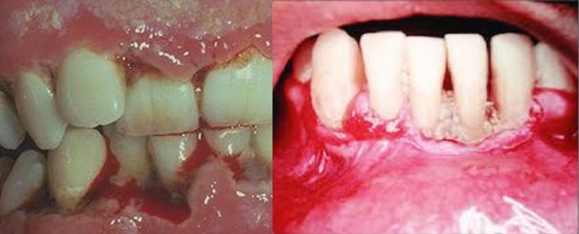
Foto: Kasus Necrotizing Ulcerative Gingivitis (NUG) (kiri) dan Necrotizing Ulcerative Periodontitis (NUP) (kanan)
Sementara itu, Necrotizing Ulcerative Gingivitis (NUG) dan Necrotizing Ulcerative Periodontitis (NUP) merupakan bentuk infeksi periodontal yang lebih berat, ditandai oleh nyeri hebat, perdarahan spontan, bau mulut, dan nekrosis (matinya) jaringan gusi. Pada pemeriksaan klinis, tampak papila interdental yang hilang akibat nekrosis, dengan tepi ulkus berwarna abu-abu keputihan dan dasar luka yang mudah berdarah. NUP merupakan progresi dari NUG, dengan destruksi cepat pada ligamen periodontal dan tulang alveolar, yang dapat menyebabkan mobilitas gigi dan kehilangan gigi dalam waktu singkat (Slots et al., J Clin Periodontol, 1990).
Baca Juga: Perawatan Gigi Lansia untuk Selamatkan Senyum Orang Tua Kita
Pada pasien dengan infeksi HIV, penurunan sistem imun akibat rusaknya sel darah putih menyebabkan tubuh rentan terhadap pembelahan sel yang abnormal, termasuk terjadinya kelainan neoplastik di rongga mulut. Dua jenis neoplasma yang paling sering ditemukan pada pasien HIV adalah Kaposi’s sarcoma (KS) dan Non-hodgkin lymphoma (NHL). Kelainan ini termasuk dalam AIDS-defining malignancies atau jenis kanker yang menandakan progresi penyakit menuju AIDS (Greenspan et al., Oral Surg Oral Med Oral Pathol, 1984; Ranganathan & Hemalatha, J Oral Maxillofac Pathol, 2011).

Foto: Kasus Kaposi’s sarcoma pada langit-langit mulut (kiri), dan pada gusi (kanan)
Kaposi’s sarcoma (KS) merupakan tumor ganas vaskular yang disebabkan oleh infeksi Human Herpesvirus 8 (HHV-8). Lesi ini muncul karena proliferasi tidak terkontrol pada sel endotel pembuluh darah yang dipicu oleh kondisi imunosupresif berat. Secara klinis, KS tampak sebagai lesi berwarna ungu, kemerahan, kebiruan, atau kehitaman pada mukosa, yang tidak menghilang saat ditekan (non-blanching).
Lesi dapat datar atau nodular, biasanya tidak nyeri pada tahap awal, tetapi dapat mengalami ulserasi dan perdarahan pada tahap lanjut. Lokasi tersering adalah langit-langit keras (palatum durum), gingiva, dan lidah. Lesi KS sering menjadi tanda pertama infeksi virus HIV yang belum terdiagnosis, sehingga deteksi dini oleh dokter gigi sangat penting untuk rujukan ke rumah sakit dan pemeriksaan sistemik (Epstein et al., Oral Surg Oral Med Oral Pathol Oral Radiol Endod, 1992).

Foto: Kasus Non-hodgkin lymphoma pada langit-langit mulut
Selain KS, Non-hodgkin lymphoma (NHL) juga merupakan neoplasma ganas yang sering muncul pada pasien HIV, disebabkan oleh pembelahan sel darah putih yang tidak terkendali akibat aktivasi virus Epstein-Barr (EBV) pada kondisi imun yang menurun. Di rongga mulut, NHL biasanya muncul sebagai pembengkakan yang cepat membesar, sering kali berwarna merah keunguan atau pucat, keras saat diraba, dan dapat menimbulkan ulserasi, nyeri, atau destruksi tulang alveolar di bawahnya. NHL paling sering ditemukan pada gingiva, palatum, dasar mulut, dan regio tonsil (Glick & Greenberg, Burket’s Oral Medicine, 12th ed., 2015).
Dalam praktik kedokteran gigi, seluruh pasien harus diperlakukan dengan prinsip kewaspadaan universal (universal precautions), yaitu anggapan bahwa setiap darah dan cairan tubuh berpotensi menularkan penyakit, termasuk virus HIV. Prinsip ini menekankan pentingnya pencegahan penularan virus melalui kontak langsung. Oleh karena itu, tenaga kesehatan gigi wajib menaati prinsip-prinsip, seperti:
Menggunakan Alat Pelindung Diri (APD) lengkap, seperti sarung tangan, masker, pelindung wajah (face shield), dan medical gown selama melakukan tindakan. Selain itu, semua alat medis harus disterilisasi dengan benar menggunakan autoklaf atau sistem sterilisasi sesuai standar. Juga membersihkan dan mendesinfeksi seluruh permukaan kerja setiap kali selesai tindakan perawatan. Langkah-langkah ini terbukti efektif dalam mencegah transmisi silang di fasilitas kesehatan gigi (Centers for Disease Control and Prevention, Guidelines for Infection Control in Dental Health-Care Settings, 2003).

Foto: Dokter dan tenaga medis wajib menerapkan protokol kewaspadaan seperti memakai APD lengkap dan menghidnari kontak langsung dengan pasien
Dokter dan tenaga medis perlu menghindari kontak langsung dengan darah atau cairan tubuh pasien, termasuk melalui luka terbuka, jarum suntik, atau peralatan tajam. Semua benda tajam harus dibuang di wadah khusus (sharps container) segera setelah digunakan untuk mencegah risiko tertusuk jarum.

Apabila dokter gigi menemukan ciri-ciri pada pasien yang mengindikasi penurunan imunitas atau infeksi virus HIV, maka tenaga medis tidak diperkenankan menolak pasien tersebut. Penolakan pasien atas dasar dugaan HIV merupakan pelanggaran etika profesi dan prinsip non-discrimination. Sebagai gantinya, dokter gigi wajib melakukan protokol pencegahan infeksi, memastikan pencatatan gejala secara lengkap dalam rekam medis pasien, serta memberikan edukasi secara empatik dan profesional agar pasien melakukan pemeriksaan lanjutan di Rumah Sakit rujukan atau Puskesmas. Pendekatan ini tidak hanya melindungi tenaga medis dan pasien lain, tetapi juga mencerminkan peran penting dokter gigi dalam deteksi dini dan pengendalian penyakit menular, tanpa mengabaikan nilai kemanusiaan dan etika pelayanan kesehatan.
Banyak tanda dan gejala infeksi HIV/AIDS dapat terdeteksi melalui kondisi rongga mulut. Oleh karena itu, dokter gigi dan tenaga medis memiliki peran strategis sebagai garda terdepan dalam mengenali tanda-tanda awal infeksi HIV/AIDS. Kewaspadaan klinis perlu diimbangi dengan sikap profesional, empati, dan bebas dari rasa takut maupun diskriminasi, karena merupakan bagian penting dari pelayanan kesehatan yang baik. Penerapan kewaspadaan universal (universal precautions) menjadi langkah utama untuk melindungi baik pasien maupun tenaga medis dari risiko penularan penyakit. Dokter dan tenaga medis dapat bekerja secara aman tanpa harus membeda-bedakan pasien berdasarkan dugaan penyakitnya. Sehingga, klinik gigi dapat berperan besar dalam upaya pengendalian dan pencegahan penyebaran HIV/AIDS di masyarakat.
Referensi:
Centers for Disease Control and Prevention (CDC). Guidelines for Infection Control in Dental Health-Care Settings. MMWR 2003;52(RR-17):1–61.
Coogan MM, Greenspan J, Challacombe SJ. Oral lesions in infection with HIV. Bull World Health Organ. 2005;83(9):700–706.
Epstein JB, et al. Oral Kaposi’s sarcoma in HIV infection: clinical presentation, diagnosis, and management. Oral Surg Oral Med Oral Pathol Oral Radiol Endod. 1992;73(3):303–309.
Glick M, Greenberg MS. Burket’s Oral Medicine. 12th ed. PMPH-USA; 2015.
Greenspan D, et al. Kaposi's sarcoma in the oral cavity: A marker for the acquired immune deficiency syndrome. Oral Surg Oral Med Oral Pathol. 1984;58(5):491–497.
Greenspan JS, Greenspan D. Oral Manifestations of HIV Infection. Oral Surg Oral Med Oral Pathol. 1992;73(2):142–148.
Neville BW, Damm DD, Allen CM, Chi AC. Oral and Maxillofacial Pathology. 4th ed. Elsevier; 2016.
Patton LL, et al. Oral manifestations of HIV disease. Oral Diseases. 2002;8(Suppl 2):57–63.
Ranganathan K, Hemalatha R. Oral lesions in HIV infection in developing countries: an overview. J Oral Maxillofac Pathol. 2011;15(2):144–150.
Schiodt M, Pindborg JJ, Reibel J. Cytomegalovirus-induced oral ulcers in AIDS patients. Oral Surg Oral Med Oral Pathol Oral Radiol Endod. 1992;74(6):743–746.
Slots J, et al. Periodontal diseases in HIV infection. J Clin Periodontol. 1990;17(6):379–384.
Smile Connect dan Mae Care Program adalah layanan pendampingan kesehatan gigi yang personal, hangat, dan profesional.Temui kami di hari terbaik untuk senyummu
Karena kesehatan dan keamanan Anda adalah prioritas kami, kami hadir bersama mitra asuransi terbaik untuk menjaga setiap langkah Anda.
Ghea Youbi
Satisfied Patient"Aku habis perawatan Bleaching, memuaskan bangettt... hasilnya putih banget dan natural, setelah 3 hari jadi...